अक्सर लोग ऐसे कारनामे कर बैठते हैं जिसके कारण उनकी और परिवार वालों की मुसीबतें बढ़ जाती है। ऐसा भी होता है कि उनके एक कारनामे का भुगतान उन्हें लंबे समय तक करना पड़ता है और वह मुश्किलों का सबब बन जाता है। ब्रिटेन के ऐसे ही युवक ने एक ऐसी गलती कर दी और USB केबल अपने प्राइवेट पार्ट में फंसा ली लेकिन निकाल नहीं पाया जिसके बाद उसे निकालने के लिए उसको अपने प्राइवेट पार्ट की सर्जरी करानी पड़ी।
दरअसल युवक अपने कमरे में अकेले बैठकर अपना प्राइवेट पार्ट नापने की कोशिश कर रहा था इसी दौरान उसे पास में यूएसबी केबल दिखाई दी जिससे उसने अपने प्राइवेट पार्ट में डाल लिया और नापने की कोशिश करने लगा। युवक ने केबल को अंदर तो डाल लिया लेकिन जब उसे बाहर निकालने लगा तो वह अंदर फंस गई। युवक फिर भी उसे खींचकर जबरदस्ती निकालने लगा लेकिन उसके प्राइवेट पार्ट में से खून आ गया। खून देखते ही युवक ने केवल को जबरदस्ती निकालना बंद कर दिया और अपने माता-पिता को बुलाया। माता-पिता उसे पास के ही अस्पताल ले गए लेकिन वहां इलाज नहीं हो पाया और उन्हें लंदन के कॉलेज यूनिवर्सिटी हॉस्पिटल रेफर कर दिया गया।

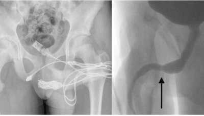
डॉक्टरों को यू उसके प्राइवेट पार्ट में से यूएसबी निकालने के लिए ऑपरेशन करना पड़ा। युवक के पेनीस के पास ही एक बड़ा चीरा लगाने के बाद केवल को निकाला जा सका। इसके लिए डॉक्टरों ने पहले युवक के प्राइवेट पार्ट का सिटी स्कैन किया जिसमें उन्हें यूएसबी केबल अंदर फंसे हुए नजर आए डॉक्टर के पास चीरा करके केबल को निकालने के अलावा कोई दूसरा रास्ता नहीं था इसलिए ऑपरेशन करना पड़ा। ऑपरेशन सफल होने के बाद डॉक्टर ने बताया कि युवक को छुट्टी दे दी गई है और उन्हें कोई अंदरूनी चोट तो नजर नहीं आई लेकिन दो सप्ताह बाद वापस युवक को स्कैनिंग के लिए आना पड़ेगा।
पीड़ित युवक ने बताया कि वह जानना चाहता था कि उसके प्राइवेट पार्ट की लंबाई कितनी है इसलिए उसने पास में रखे यूएसबी केबल को अंदर डाल लिया और उसे नापने की कोशिश करने लगा लेकिन जब वो उसे बाहर निकाल रहा था तो वह अंदर ही फंस गई और जब खींच कर निकालने की कोशिश की तो प्राइवेट पार्ट से खून आने लगा।
जानलेवा साबित हो सकती है सनक
विशेषज्ञों ने बताया कि ऐसी किसी भी तरह की अजीबोगरीब हरकत जानलेवा साबित हो सकती है या फिर इसके भविष्य में गंभीर परिणाम हो सकते हैं इसलिए ऐसी कोई भी हरकत नहीं करना चाहिए। कई बार कुछ लोग अपने प्राइवेट पार्ट में दाना, चुंबकीय गेंद या कुछ डाल लेते हैं ऐसी खबरें अक्सर आती है लेकिन यह पूरी तरह से गलत और नुकसानदायक है।
You may also like
ट्रंप ने ट्रुथ सोशल पर लिखा, "चीन का रवैया शत्रुतापूर्ण, अब क़दम उठाने होंगे"
23.56 लाख की ठगी के संगठित गिरोह का एक और सदस्य गिरफ्तार
महिलाओं की हर छुपी तकलीफ का इलाज इन` 5 देसी दानों में है छिपा लेकिन सही तरीका जानना ज़रूरी है
'4 करोड़ मेरी सेलिब्रिटी फीस थी', 60 करोड़ की धोखाधड़ी मामले में शिल्पा शेट्टी की सफाई
पश्चिम बंगाल : पुलिस ने मुख्यमंत्री आवास के पास पिस्तौल के साथ एक शिक्षक को हिरासत में लिया, पूछताछ के बाद छोड़ा